細胞診標本集
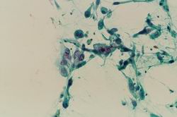
【症例1】中等度異形成
1-1
(Pap染色×40)
1-2
(Pap染色×40)
1-3
(Pap染色×40)
1-4
(Pap染色×40)
採取部位:子宮頚部擦過
採取方法:スパーテル
患者情報:40歳 女性
臨床所見:膣部びらん
炎症性の背景の中に、核腫大、N/C比大、軽度の核形不整がある中層~傍基底型の細胞が認められます。
核クロマチンは細顆粒状で増量し、比較的均一に分布しています。
高度異形成とするにはN/C比が小さく、核の切れ込みやしわ等の核異型に乏しい点から中等度異形成とするのが妥当です。
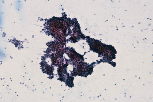
【症例2】内膜増殖症
2-1
(Pap染色×10)
2-2
(Pap染色×40)
2-3
(Pap染色×10)
2-4
(Pap染色×40)
採取部位:子宮体部
患者情報:58歳 女性
臨床所見:子宮体癌疑い
出現している細胞集塊は乳頭状あるいは不整突出(集塊辺縁より半島状に突出)が見られ、構造異型を示しています。
強拡大では核の飛び出しが無く、核の大小不同、クロマチンの異常や核小体肥大などといった細胞異型の所見は認められません。
類内膜腺癌では乳頭状、樹枝状、篩状集塊などの多数の構造異型を示す集塊に加え細胞異型も認められます。
本症例は細胞異型に乏しいため類内膜腺癌を否定できます。よって内膜増殖症を推定するのが適当です。
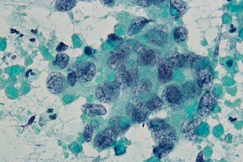
【症例3】類内膜腺癌(G1)
3-1
(Pap染色×20)
3-2
(Pap染色×40)
3-3
(Pap染色×10)
3-4
(Pap染色×20)
採取部位:子宮体部
採取方法:エンドサイト
患者情報:71歳 女性
臨床所見:不正出血(+)、右卵巣腫瘍(+)
スライド3-1・2では壊死性背景に偏在性の核を伴い、明らかに極性の乱れた異型細胞が胞体内に好中球を取り込み出現しています。
スライド3-3・4は癒合を呈し近接密集した腺管が著しく増生し、立体的な盛り上がりを示す腺密集増殖集塊です。扁平上皮化生が見られるものの、扁平上皮癌を示唆する所見は見られません。複雑型子宮内膜増殖症は最も鑑別を要する組織型ですが、背景に壊死を伴っていることから鑑別が可能です。
また、経験上、複雑型異型内膜増殖症に見られる腺密集増殖集塊は腺集塊が近接密集して配列するものの、G1と比較して立体的な盛り上がりに欠けることも鑑別のポイントと思われます。
【症例4】明細胞腺癌
4-1
(Pap染色×40)
4-2
(Pap染色×100)
4-3
(Pap染色×100)
4-4
(Pap染色×100)
採取部位:膣断端部擦過
採取方法:スパーテル
患者情報:52歳 女性
臨床所見:7年前、卵巣癌の手術施行
平面的なシート状配列でライトグリーンに淡染した、大きく豊富な細胞質を有し、核の大小不同、クロマチンの増量、核小体の著明化を伴っています。一部、乳頭状配列を呈し最外層部での核の突出と思われる部分もあります。
明細胞腺癌は、充実型と管腔型に分けられます。
それぞれの所見は、
充実型:シート状配列の細胞集団で、細胞質は豊富で辺縁明瞭、ライトグリーンに淡染、グリコーゲンを含むため明調を呈します。核はほぼ中央に位置し、核の大小不同、核の濃染、核小体の腫大を伴います。
※細胞質は、グリコーゲン・粘液多糖類・ムチン・脂肪などの各染色法で陽性を示します。
管腔型:乳頭状・樹枝状配列を呈する部分が採取された場合、大きい異型核によって細胞の先端が膨隆乳頭の大きい鋲あるいは釘に似た形態を呈することがあります。この様な細胞をホブネイル(hobnail)細胞と呼んでいます。
【症例5】高分化腺癌
5-1
(Pap染色×40)
5-2
(Pap染色×80)
5-3
(Pap染色×20)
5-4
(Pap染色×80)
採取部位:右気管支
採取方法:ブラシ擦過
患者情報:62歳 男性
臨床所見:右肺上葉に腫瘍様陰影あり
炎症細胞や壊死のないきれいな背景で、高円柱状の腺系細胞が球状~シート状集塊として認められます。
大きさは比較的揃っていますが、周囲にみられる線毛円柱上皮に比べ明らかに大型の核(10μm以上)を有しています。
核内は濃染性で張りがあり、クロマチンは細網状、密に増量しています。明らかな線毛や終末板は認められません。
【症例6】大細胞神経内分泌癌
6-1
(Pap染色×10)
6-2
(Pap染色×40)
6-3
(Pap染色×40)
6-4
(Pap染色×40)
6-5
(Pap染色×40)
採取部位:肺
採取方法:腫瘍捺印
患者情報:73歳 男性
臨床所見:左肺上葉に腫瘍様陰影あり
壊死性背景に淡明な広い細胞質を有する大型の異型細胞や大型核を有する異型細胞が集合性あるいは孤在性に出現しています。
核の大小不同、核形不整を伴い、N/C比が高くクロマチンは粗に増量しています。また、一部にはロゼット様配列も認められます。
【症例7】ランブル鞭毛虫
7-1
(Pap染色×100)
7-2
(ギムザ染色×100)
採取部位:膵頭部
採取方法:ERCPに吸引膵液
患者情報:65歳 男性
臨床所見:膵頭部にcystic lesion
臨床診断:膵IPMT
西洋梨形を呈する小型淡染の原虫が2~3個みられます。両側には1個ずつ卵形の核で中央に大きな核小体後方に向かう鞭毛が見られます。
ランブル鞭毛虫は大きさ5~21μm、西洋梨形、左右対称に器官を有し核1対に大きな核小体、鞭毛4対8本があります。
スライドでは鞭毛の4対8本は、はっきりしませんが、ランブル鞭毛虫です。ランブル鞭毛虫は嚢子を経口摂取にて感染し腸内、胆道へ栄養型で寄生します。普通病原性はないが下痢の原因ともなります。ときに重症感染では脂肪吸収障害、急性腹痛がみられます。
【症例8】転移性腫瘍・悪性黒色腫
8-1(リンパ節)
(Pap染色×40)
8-2(リンパ節)
(ギムザ染色×40)
8-3(胸水)
(Pap染色×20)
8-4(胸水)
(Pap染色×40)
8-5(胸水)
(ギムザ染色×20)
採取部位:頚部リンパ節穿刺・胸水
患者情報:48歳 女性
臨床所見:頚部リンパ節腫張、胸水貯留
リンパ節の標本でも、リンパ球はほとんどなく、細胞質に顆粒を伴う大小さまざまな細胞が点在しています。
穿刺吸引標本では顆粒は背景にも散在して標本全体の色調が変化しており、一見すると染色の失敗や標本自体の退色にも思えます。
大型核や大きな核小体を伴う腫瘍細胞の他に、顆粒を貪喰した組織球(メラノファージ)も混在しています。
パパニコロウ染色で黄褐色・ギムザ染色で青黒色の顆粒はメラニン色素と考えらます。また核小体が大きく核異型が強く、打ち抜いたような核内封入体(アピッツ小体)も認めます。
本症例は数年前に口唇の母斑切除の既往があり、皮膚原発の悪性黒色腫と考えられます。色素を含まないamelanotic melanomaの診断は細胞診では困難とされますが、大小不同の核や大型の核小体・核クロマチンの不規則凝集、前述の核内封入体の存在が参考となる場合があります。
【症例9】肉芽腫性乳腺炎
9-1
(Pap染色×20)
9-2
(Pap染色×20)
9-3
(Pap染色×20)
9-4
(Pap染色×40)
9-5
(ギムザ染色×40)
採取部位:左乳腺
採取方法:左乳腺腫瘍穿刺
患者情報:39歳 女性
臨床所見:圧痛を伴う左乳腺腫瘤
壊死物・炎症細胞・組織球が多数の汚れた背景です。その中に細長い細胞の重積性のある細胞集塊が点在しています。
核は淡く染色され細胞質もやわらかく不整形です。この細胞の由来の読みがポイントになります。上皮由来ではなく間質からの細胞です。
この症例では、間質(肉芽成分)を上皮と誤認しないよう核所見を丁寧に見ることが大事です。
臨床所見が癌と類似する場合もあり、細胞所見をとる上で「汚れた背景イコール腫瘍性背景」と短絡しない用心深さが必要です。
【症例10】乳頭腺管癌
10-1
(Pap染色×10)
10-2
(Pap染色×40)
10-3
(Pap染色×40)
10-4
(Pap染色×40)
10-5
(Pap染色×40)
10-6
(Pap染色×40)
採取部位:右乳腺
採取方法:右乳腺穿刺
患者情報:54歳 女性
臨床所見:右乳腺腫瘍
壊死物・出血で汚れた背景に、乳頭状・篩状の異型上皮細胞が多数出現しています。細胞は大小多彩です。
鑑別が必要なものは乳頭腫と乳頭腺管癌です。
いずれも乳頭状パターンで出現しますが、乳頭腫では配列がより規則的で、大小不同が軽く筋上皮との2相性が認められる点が異なります。
組織診断ではcomedo壊死を伴う乳頭腺管型の浸潤性乳管癌でした。
【症例11】亜急性甲状腺炎
11-1
(Pap染色×20)
11-2
(Pap染色×40)
11-3
(ギムザ染色×20)
11-4
(ギムザ染色×40)
採取部位:甲状腺
採取方法:ABC
患者情報:46歳 女性
臨床所見:前頚部痛、発熱
特異な多核巨細胞、濾胞上皮とリンパ球の混在した集塊、コロイド、類上皮細胞がみられます。細胞の異型はみられません。
亜急性甲状腺炎は若年から中年女性に多く、急性に発症する病変で、疼痛、圧痛、発熱を伴い数ヶ月で自然寛解します。
臨床的に結節性病変を示すことから、甲状腺癌との鑑別に穿刺吸引細胞診が施行されます。
細胞像は、多核巨細胞、組織球性の類上皮性細胞、組織球、リンパ球の出現が特徴的で、多核巨細胞の中にはコロイドを貪食するようなものも見られます。また核が50個以上の大型のものが多く慢性甲状腺炎や乳頭癌の多核巨細胞とは異なります。
【症例12】未分化癌
採取部位:甲状腺
採取方法:ABC
患者情報:79歳 女性
臨床所見:s/o malignant lymphoma
軽度の壊死性背景に、大型で多形性に富む細胞が孤在性から結合性疎の集塊で見られます。
核は大型で楕円形から不整形、核形不整を呈しています。
クロマチンは顆粒状で増量し、核小体の腫大もみられます。
細胞像は多彩で小型細胞、細胞質の豊富な大型細胞、紡錘形細胞などが、比較的ゆるい上皮性結合でみられます。
未分化癌は細胞の結合性が低下し、大型で多形性に富み、細胞異型が顕著なため、悪性の診断は容易です。
未分化癌は高齢者に多く、浸潤性で急速に増大し、甲状腺の中で最も悪性度が高く予後不良です。未分化癌の多くは、乳頭癌や濾胞癌などの分化型甲状腺癌が脱分化してなったものと考えられ、未分化癌の細胞像と共に分化型甲状腺癌の細胞像を見ることもあります。







